Gimnasias para la salud




Fitness



Andar
Beneficios andar
Gimnasia
ai chi
Woga
Power Plate
Galileo maquina


Ejercicios



Abdominales Hombres
Abdominales oblicuos
Ejercicios para los gluteos
Ejercicios abdominales
Ejercicios pectorales
Ejercicios biceps
Ejercicios hombros


Deportes



Natacion
Pilates
Abdominales
Mancuernas
Estiramientos
aquaspinning


Adelgazar



Adelgazar pasando frio
Bailar para adelgazar
Adelgazar del culo
Adelgazar sin dietas
Quiero perder peso
Quiero adelgazar
Calorias por ejercicio
Tipos de dietas


Salud



Pies planos o cavos
Tendinitis en el pie
Salud ai chi
Impresion 3d medica
Bioreplicas


IMPRESION 3D MEDICA

impresion 3d medica primer paso

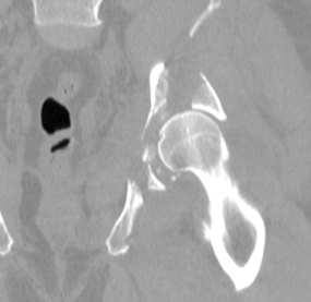
El primer paso para realizar una impresion 3d medica consiste
en la adquisicion de imagenes mediante un aparato de TAC o RNM



impresion 3d medica segundo paso

Un vez obtenidas las imagenes se procedera a su procesado
para obtener un archivo que contiene la informacion de un solido tridimensional



impresion 3d medica tercer paso

El objeto virtual que hemos obtenido ya esta listo para enviarlo a nuestra impresora 3d



impresion 3d medica cuarto paso

El proceso de impresion 3d puede ser largo dependiendo
de el tamaño de la pieza y de la definicion con la que querramos imprimirla



impresion 3d medica quinto paso

Finalemnte obtendremos la impresion 3d de un solido tangible,
con la que podremos trabajar facilmente



Gracias a la impresión 3d medica, se ha podido dar un paso más en la esfera del conocimiento de la salud y la medicina. Las aplicaciones de esta tecnología son múltiples, actualmente tan solo nos encontramos en los inicios aunque ya se puede percibir como esta aplicación de la ciencia podrá brindar a los pacientes un trato más personalizado y exclusivo.



Actualmente las áreas de las ciencias de la salud en las que se ha producido una mayor penetración de la impresión 3d médica son en el campo de la rehabilitación, odontología y ortopedia.

En el campo de la rehabilitación resulta especialmente atractiva la introducción de la impresión tridimensional ya que esta permite crear ortesis perfectamente adaptadas a la anatomía de cada paciente. Esto se consigue realizando un escaneo 3d de la parte del paciente en la que se va a adaptar la ortesis para posteriormente poder obtener un molde sobre el cual podremos acomodar virtualmente la ortesis que imprimiremos a continuación. Con esta tecnología, por lo tanto, se podrar imprimir en 3d la ortesis perfectamente ajustada a la anatomía del paciente. La impresión 3d ha agilizado y abaratado los costes del proceso de creación de ortesis personalizadas.



Con esta nueva personalización, en muchos casos, se consigue una mejor y más cómoda adaptación al proceso de fisioterapia y recuperación de la función del paciente. En ocasiones pudiendo permitir una más rápida incorporación a la práctica deportiva habitual.



Además en el campo de las prótesis de sustitución de partes dañadas del cuerpo como las extremidades. Las creación de prótesis adaptadas a cada paciente y a la vez a cada función o actividad específica, la impresión 3d medica ya está jugando un papel determinante permitiendo el acceso a estos dispositivos tan exclusivos a un mayor número de pacientes, que en ocasiones no cuentan con los recursos necesarios para poder optar a ellos si son fabricado usando métodos tradicionales.



En las imagenes que se muestran a la izquierda de este texto se pueden observar los pasos requeridos para obtener impresiones 3d medicas. Todo comienza con la adquisicion de las imagenes por medio de aparatos medicos capaces de realizar reconstrucciones tridimensionales a partir de los diferentes estratos.

Existen numerosos programnas que permiten la conversion de las imagenes obtenidas de nuestros aparatos medicos para convertirlos en archivos que posteriormente podran ser imprimidos.

Una vez introducido el archivo en nuestra impresora 3d , solo queda esperar y en ocasiones observar como crece nuestra reproduccion 3d.

Finalizada la impresion 3d se extraera el solido del la impresora 3d para el acabado final, ya que en ocasiones deberos limpiar la pieza de impurezas pudiendo incluso realizar un acabado finl que confiera mas belleza a nuestra impresion 3d.

Licenciada Estefania Moreno, todos los derechos reservados desde junio del 2006.